Lấy cao răng bao nhiêu tiền? Có đắt không?
Lấy cao răng là một trong những dịch vụ nha khoa quan trọng giúp duy trì sức khỏe răng miệng và ngăn ngừa các bệnh lý như viêm lợi, sâu răng hay hôi miệng. Tuy nhiên, nhiều người vẫn còn băn khoăn về vấn đề giá cả khi lựa chọn dịch vụ này. Vậy, “lấy cao răng bao nhiêu tiền?” Liệu chi phí này có đắt không? Hãy cùng tìm hiểu ngay trong bài viết dưới đây.
Giá lấy cao răng – Những yếu tố ảnh hưởng đến chi phí
Giá dịch vụ lấy cao răng có thể thay đổi tùy thuộc vào một số yếu tố như địa điểm, công nghệ áp dụng cũng như trình độ chuyên môn của bác sĩ. Tuy nhiên, nhìn chung, dịch vụ lấy cao răng là dịch vụ nha khoa cơ bản với mức giá không quá cao. Thông thường, giá lấy cao răng sẽ dao động từ 100.000 đồng đến 300.000 đồng tại các cơ sở nha khoa uy tín trên toàn quốc. Với mức phí này, bạn hoàn toàn có thể thực hiện lấy cao răng 6 tháng/lần trong các đợt khám nha khoa định kỳ.

Những lợi ích khi lấy cao răng
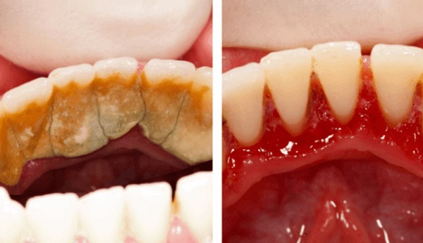
Lấy cao răng không chỉ giúp bạn loại bỏ mảng bám và vi khuẩn gây hại mà còn mang lại nhiều lợi ích khác cho sức khỏe răng miệng. Cụ thể dưới đây.
- Ngăn ngừa viêm lợi và các bệnh lý răng miệng: Cao răng là nguyên nhân chính gây ra tình trạng viêm lợi và các bệnh lý khác như sâu răng, hôi miệng và viêm nha chu. Việc lấy cao răng định kỳ giúp giảm nguy cơ mắc các bệnh này. Từ đó ngăn ngừa những biến chứng nghiêm trọng khác và duy trì hơi thở thơm mát.
- Giúp răng trắng sáng tự nhiên: Cao răng là một trong những nguyên nhân chính khiến răng bị xỉn màu và mất đi vẻ trắng bóng rạng rỡ. Khi lấy cao răng, không chỉ mảng bám được loại bỏ mà răng của bạn cũng sẽ trở nên sáng bóng và đẹp hơn. Đây là dịch vụ vừa đảm bảo sức khỏe vừa nâng cao thẩm mỹ nụ cười cho bạn.
- Bảo vệ men răng: Một số người lo ngại rằng việc lấy cao răng sẽ làm mòn men răng. Tuy nhiên với công nghệ hiện đại ngày nay, việc lấy cao răng không làm hại men răng mà còn giúp bảo vệ men răng. Men răng chắc khỏe sẽ ngăn chặn sự tấn công của các tác động bên ngoài. Từ đó giảm thiểu nguy cơ sâu răng cũng như các vấn đề về răng miệng khác.

Lý do nên chọn dịch vụ lấy cao răng tại Nha khoa Sing
Nếu bạn đang tìm kiếm phòng khám nha khoa lấy cao răng uy tín với chi phí hợp lý, Nha khoa Sing là lựa chọn tuyệt vời mà bạn có thể cân nhắc. Dưới đây là lý do tại sao bạn có thể yên tâm lựa chọn dịch vụ lấy cao răng tại Nha khoa Sing.
- Chi phí hợp lý: Dịch vụ lấy cao răng tại Nha khoa Sing chỉ từ 000 đồng đến 300.000 đồng. Mức phí này tương đương với mặt bằng chung của thị trường. Điểm khác biệt là bạn sẽ được trải nghiệm khám răng chuẩn Singapore. Gói dịch vụ này sẽ giúp bạn tiết kiệm chi phí nhưng vẫn đảm bảo chất lượng dịch vụ cao.
- Công nghệ hiện đại: Nha khoa Sing áp dụng công nghệ lấy cao răng chuẩn Singapore. Công nghệ này giúp loại bỏ hoàn toàn mảng bám mà không làm mòn men răng hay gây chảy máu chân răng. Ngoài ra còn giúp phục hồi vẻ trắng bóng tự nhiên cho răng, mang lại sự tự tin khi giao tiếp.
- Đội ngũ chăm sóc khách hàng tận tâm: Nha khoa Sing có đội ngũ nhân viên chăm sóc khách hàng tận tình. Đội ngũ luôn sẵn sàng tư vấn và hỗ trợ bạn đặt lịch khám nhanh chóng. Đảm bảo bạn không phải chờ đợi lâu và tôn trọng lịch trình cá nhân bận rộn của bạn.
- Bác sĩ có tay nghề cao: Với đội ngũ bác sĩ có hơn 30 năm kinh nghiệm trong ngành nha khoa, bạn hoàn toàn có thể yên tâm về trình độ chuyên môn. Bác sĩ tại Nha khoa Sing luôn áp dụng các phương pháp hiện đại và chuẩn xác đồng thời luôn cập nhất các phương pháp chữa bệnh mới nhất nhằm mang đến kết quả tối ưu cho khách hàng.
- Cơ sở vật chất tiện nghi: Nha khoa Sing trang bị đầy đủ các thiết bị nha khoa hiện đại với tiêu chuẩn vô trùng khắt khe. Tất cả nhằm đảm bảo quy trình lấy cao răng được thực hiện một cách an toàn, nhanh chóng và hiệu quả.

Nếu bạn đang tìm kiếm một nơi uy tín để thực hiện dịch vụ lấy cao răng, đừng quên lựa chọn Nha khoa Sing – nơi mang đến cho bạn sự hài lòng tuyệt đối về chất lượng và chi phí.
NHA KHOA SING – HỆ THỐNG NHA KHOA TIÊU CHUẨN SINGAPORE HÀNG ĐẦU VIỆT NAM
Website: https://nhakhoasing.vn/
Hotline: 0866 362 266
Địa chỉ 11 cơ sở của hệ thống Nha khoa Sing: xem thêm tại https://nhakhoasing.vn/dia-chi-nha-khoa
Huyền Trang